Лечение грыж

В Динамике мы предлагаем современный, научно обоснованный подход к лечению грыжи межпозвонкового диска.

записаться

Лечение грыжи позвоночника в Клинике Динамика

Мы сосредоточены на решении основной проблемы, а не просто на временном облегчении симптомов.
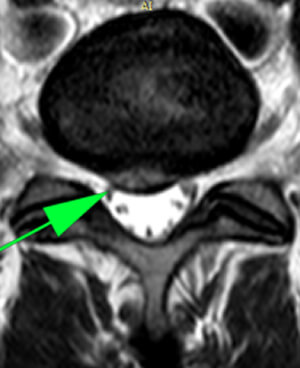
Грыжи диска, как правило, возникают в поясничном отделе позвоночника, однако также могут наблюдаться в шейном и, реже, в грудном отделах. Они могут приводить к значительному дискомфорту и ограничениям в движении, что негативно сказывается на качестве жизни пациентов.

Современный подход к лечению

В отличие от традиционных методов лечения, наш подход ориентирован на ускорение резорбции грыжи диска. Это означает, что мы активно работаем над восстановлением тканей и устранением самой причины боли. Наша цель — не просто купировать симптомы, а обеспечить клиническое улучшение и восстановление функциональности позвоночника.

Методы лечения

Для достижения наилучших результатов мы применяем высокоинтенсивные методы физиотерапевтического воздействия:

  • Лазеротерапия. Использование высокотехнологичного лазера для доставки энергии в ткани и стимуляции процессов заживления.
  • Высокоинтенсивный магнит. Применяется для уменьшения воспалительных процессов и улучшения микроциркуляции крови.
  • Иглорефлексотерапия. Этот древний метод, основанный на восточной медицине, помогает активировать внутренние резервы организма и ускорить процессы регенерации.
  • Введение препаратов. Мы используем препараты, усиливающие пролиферацию клеток, а также плазму, обогащенную тромбоцитами, которая способствует восстановлению поврежденных тканей.

Показания к лечению

Лечение грыжи межпозвонкового диска показано пациентам, испытывающим:

  • Боль в любом отделе позвоночника;
  • Снижение силы мышц в конечностях (руках или ногах);
  • Потерю или снижение чувствительности в области, подверженной повреждению.
  • Эти симптомы могут значительно ухудшить качество жизни и ограничить физическую активность пациентов.

Процесс лечения

Средняя продолжительность курса лечения грыжи диска составляет от 3 месяцев до 1 года. Мы рекомендуем два курса по 12 сеансов с интервалом в 3 месяца между ними. Важно отметить, что это не означает, что пациент должен постоянно посещать клинику; между сеансами мы контролируем прогресс с помощью регулярных МРТ обследований, позволяющих следить за динамикой изменений в состоянии позвоночника.

Результаты

Резорбция грыж — это терапевтический процесс, направленный на уменьшение или полное исчезновение межпозвонковых грыж без хирургического вмешательства. Данный метод включает серию около 12 посещений клиники, три раза в неделю. После курса процедур, врач определяет время контрольного МРТ (обычно 2-3 месяца) для оценки результатов лечения.

Не все грыжи поддаются лечению данным методом. Решение о назначении резорбции принимается на основе анализа жалоб пациента, результатов МРТ и срока давности грыжи. Метод является безопасным и отличается отсутствием осложнений.

Кейс 1
Кейс 2

услуги и цены

Если вы не уверены, что нужно именно вам, оставьте заявку на консультацию. Мы свяжемся с вами.

записаться
Прием 6 000 руб (Виталий Левченко, Александр Чайка)
6 000 руб.
Прием (Кирилл Осипов, Роман Желтов, Тимур Рамазанов)
7 500 руб.
Процедура по медицинской реабилитации (резорбция 30)
5 000 руб.

выбирайте
своего врача

от 6 000 руб.
Виталий Левченко
Главный врач, невролог, мануальный терапевт, врач спортивной медицины
от 7 500 руб.
Тимур Рамазанов
Врач ЛФК и спортивной медицины, врач физической и реабилитационной медицины
от 6 000 руб.
Александр Чайка
Невролог, мануальный терапевт
от 7 500 руб.
Кирилл Осипов
Врач ЛФК и спортивной медицины, мануальный терапевт
от 7 500 руб.
Роман Желтов
Врач ЛФК и спортивной медицины